Содержание
Надпочечники — это небольшие парные железы эндокринной системы, расположенные прямо над почками. Форма правой железы похожа на пирамиду, а левая напоминает полумесяц. Внешнее отличие никак не сказывается на морфологическом строении и выполнении их основной функции — выработке целого ряда гормонов, управляющих всеми жизненно важными процессами.
Строение надпочечников и выработка гормонов
Каждый надпочечник (НП) состоит из 2 абсолютно разных типов вещества – жёлтого коркового и красновато-коричневого мозгового.
Врачи отмечают, что опухоли надпочечников могут быть как доброкачественными, так и злокачественными, и их диагностика требует комплексного подхода. Специалисты подчеркивают важность раннего выявления, так как это существенно влияет на прогноз и выбор метода лечения. Симптомы могут варьироваться от бессимптомного течения до проявлений гормонального дисбаланса, таких как гипертония или изменения в обмене веществ. Врачи рекомендуют регулярные обследования, особенно для людей с предрасположенностью к эндокринным заболеваниям. Современные методы визуализации, такие как КТ и МРТ, позволяют точно оценить размеры и характер опухоли, что помогает в планировании дальнейшей терапии. Лечение может включать как хирургическое вмешательство, так и медикаментозную терапию, в зависимости от типа и стадии опухоли.

Жёлтый корковый слой
Корковый слой состоит из 3 зон:
- Клубочковая (наружная) — вырабатывает 3 минералкортикоидных гормона, которые отвечают за соблюдение натрий-калиевого баланса в почках и нормальный водно-солевой обмен в организме.
- Пучковая (средняя) зона ответственна за производство глюкокортикоидных: кортизона и кортизола. Эти гормоны ответственны за много функций и процессов обмена веществ — преобразуют жиры и некоторые аминокислоты в глюкозу, регулируют термогенез, препятствуют разрастанию соединительных тканей, повышают иммунитет, приглушают воспалительные и аллергические реакции; улучшают работу всех органов чувств и общую сопротивляемость стрессам.
- Сетчатая (внутренняя) зона, наряду с яичниками и семенниками, секретирует 5 андрогенных мужских половых гормонов, отвечающих за развитие и стабильность проявления вторичных половых признаков. От их уровня зависит либидо, возбуждение полового члена и клитора. Эти гормоны еще уменьшают количество глюкозы, холестерина и липидов в крови; повышают мышечную массу и силу.
Красновато-коричневый мозговой слой
Мозговой слой НП в пограничных психоэмоциональных состояниях является главным источником выработки катехоламинных гормонов, норадреналина и адреналина, которые:
- отвечают за работу сердечно-сосудистой, дыхательной и нервной систем;
- регулируют уровень сахара в крови;
- регулируют углеводный обмен.
Помимо катехоламинов, мозговой слой репродуцирует пептиды, которые выполняют важную роль в регуляции деятельности желудочно-кишечного тракта, вегетативной и центральной нервных систем.
Как и любые другие органы, надпочечники подвержены многим заболеваниям:
- гипокритицизм — первичная (болезнь Аддисона) и вторичная надпочечные недостаточности в острой или хронической форме течения;
- врождённые дисфункции коры НП;
- вторичный гиперальдостеронизм.
Эти заболевания вызваны сбоем в секреции гормонов по невыясненным причинам. Но, в последнее время, всё чаще и чаще, диагностируют доброкачественные и злокачественные новообразования надпочечных желез. По некоторым данным считается, что опухоль НП можно найти у 5% населения.
Опухоль надпочечников вызывает множество обсуждений среди пациентов и врачей. Многие люди отмечают, что симптомы могут быть неочевидными, что затрудняет раннюю диагностику. Часто пациенты жалуются на усталость, изменения в весе и гормональные сбои, что приводит к множеству вопросов и беспокойства. Важно отметить, что не все опухоли надпочечников являются злокачественными, и многие из них могут быть успешно лечены. Однако страх перед диагнозом и последствиями операции часто становятся темой разговоров. Люди делятся своими историями о том, как они справлялись с диагнозом, и подчеркивают важность поддержки со стороны близких и медицинских специалистов. Обсуждения на форумах и в социальных сетях помогают многим найти информацию и моральную поддержку, что делает процесс лечения менее одиночным.

Классификация опухолей НП
Опухоли надпочечников могут быть систематизированы по следующим параметрам:
- По характеру поражения – доброкачественные и злокачественные. Доброкачественные новообразования бессимптомны, редко диагностируются и не представляют угрозу для жизни. Злокачественные опухоли обладают явными признаками интоксикации, очень агрессивны и быстро растут в размерах. В свою очередь, злокачественные опухоли делятся на первичные и вторичные – метастазирующие поражения НП из других раковых опухолей внутренних органов.
- По локализации – опухоли коры и опухоли мозгового вещества.
- По гормональной зависимости – гормонально-активные (гормоносекретирующие) и «клинически немые» или гормонально-неактивные. Последние получили название «Инсиденталомы» — случайные. Они асимптоматичны и неожиданно выявляются при УЗИ-диагностике других заболеваний. Чаще встречаются у женщин (30– 60 лет), чем у мужчин. По большей части имеют левостороннюю локализацию. С широким и повсеместным использованием аппаратов УЗИ, частота обнаружения «немых» адренолом возросла до 10% у всех исследуемых пациентов, а их доля в общей картине опухолей НП достигла 20%.
Симптомы опухолей очень разнообразны и связаны с их размерами, качеством, зоной поражения НП (вид гормона) и уровнем гормональной активности.
Большинство опухолей НП – это небольшие по размеру, доброкачественные новообразования, как правило, поражающие одну железу. Самая распространённая форма опухоли (около 30%) – доброкачественная аденома коркового вещества, не требующая лечения или хирургического вмешательства. Очень редко наблюдаются кисты и псевдокисты;
- липомы и миелолипомы;
- лимфомы и сосудистые опухоли надпочечников.
Рак коры надпочечников крайне редок, плохо излечим, встречается всего у 2 больных из 1 000 000 пациентов со злокачественными новообразованиями НП. Статистика говорит о том, что этот рак встречается в основном у женщин (40–50 лет) или у детей. Современная медицина считает, что Адренокортикальный рак возникает из-за наследуемой мутации TP53.
Самого пристального внимания заслуживают клинические проявления гормонально-активных опухолей надпочечников.
Разновидности и симптомы
У каждой разновидности опухоли свои симптомы
Альдостерома
Небольшая (до 3 см), как правило, доброкачественная опухоль клубочкового слоя коры НП, которая секретирует минералкортикоидный гормон – альдостерон. Является первопричиной Синдрома Кона.
Основные симптомы альдостеромы:
- повышенное артериальное давление;
- мышечные судороги;
- слабость;
- повышенное выделение мочи;
- сильная жажда.
Лечение: удаление вместе с поражённой железой, с последующей гормонально-заместительной терапией, приёмом препаратов калия и «безнатриевой» диетой.
Андростерома
Опухоль поражает сетчатую зону коры НП. Излишне продуцируемый ею, мужской половой гормон андроген, приводит к вирилизации женского организма:
- огрубение голоса, рост волос на лице и теле по мужскому типу на фоне облысения;
- изменение мышечного типа фигуры на мужской;
- уменьшение размера груди и увеличение клитора,
- нарушение или исчезновение менструации (вплоть до бесплодия);
- атрофия матки и повышенное либидо.
Диагностируется у женщин от 30 до 40 лет. У мужчин андростерома встречается реже и диагностируется крайне поздно из-за «неявных», смазанных симптомов. Правильной диагностике способствует увеличенный размер печени.
Лечение: радикальная резекция надпочечника и гормональная терапия.
Кортикостерома (глюкостерома)
Доброкачественная (2–6 см) в 70% и злокачественная (30 см и до 3 кг) в 30% случаев. Самая часто встречающаяся опухоль пучковой зоны НП, производящая в избыточном количестве кортизол. Чаще встречается у женщин (20–40 лет) и характеризуется группой симптомов Синдрома Иценко-Кушинга:
- исчезновение подкожного слоя жира на тыльной стороне кисти;
- «диспластическое» ожирение груди, живота, шеи и головы — «лунообразное лицо»;
- появление в районе VII шейного позвонка климактерического горба;
- у женщин — перераспределение жировых отложений по мужскому типу;
- общее истончение кожных покровов и появление стрий — фиолетовых или багрово-красных растяжек на животе, грудных железах, внутренней поверхности бёдер и плеч;
- трофические язвы на голенях, грибковые поражения кожи и ногтей;
- атрофия мышц передней стенки живота, плеч и ног;
- «лягушачий живот» и грыжи;
- гипертенезивный синдром — повышенное артериальное давление, головные боли, аритмии, асцит и отёки;
- гетеросексуальный синдром — у мужчин снижается либидо и атрофируются яички, а у женщин протекает вирилизация;
- остеопороз;
- нарушение памяти и сна; депрессивные состояния; психопатические реакции или заторможенность;
- в 10–20% случаев — стероидный сахарный диабет, у остальных – стойкое нарушение обмена веществ; у 65% пациентов развивается вторичный иммунодефицит.
Кортикоэстрома
Редкая и очень агрессивная злокачественная опухоль, продуцирующая эстрон и эстрадиол. Плохо поддаётся лечению. Характеризуется атипично небольшим объёмом — всего до 100 г. Чаще поражает мужчин, вызывает у них развитие вторичных половых признаков по женскому типу (феминизация). Первым проявляющимся симптомом является увеличение груди с разрастанием железистых тканей.
У женщин кортикоэстрома симптоматически не проявляется и выявляется только на УЗИ с подтверждением анализа крови на повышенное содержание эстрогенов. У девочек эта опухоль вызывает преждевременное физическое и половое развитие, и может вызывать влагалищные кровотечения.
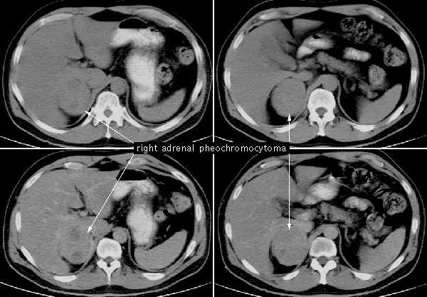
Феохромоцитома
Опухоль поражает мозговое вещество НП и продуцирует катехоламины (адреналин и норадреналин). В 90% случаев доброкачественна, но опасна тяжёлыми осложнениями. Злокачественный вид опухоли коварен своим нетипичным расположением вне железы. Доказано, что 10% случаев заболевания носят наследственный (семейный) характер. Чаще поражает женщин (30–50 лет) и впервые даёт о себе знать частыми изнурительными вегетативными кризами. Болезнь может протекать в трёх формах:
- пароксизмальной;
- постоянной;
- смешанной.
Пароксизмальное течение характеризуется симптомами гипертонического криза. Появляются:
- внезапные и резкие скачкообразные пиками подъёмов АД до 300 (и выше) мм рт.ст., которые сопровождаются головной болью и головокружениями;
- побледнение кожи (мраморность) и повышенное потоотделение;
- повышенное сердцебиение;
- загрудинные боли;
- скачки температуры тела;
- внезапные приступы рвоты;
- дрожь и приступы беспричинной паники.
Эти симптомы могут вызываться и/или усугубляться физическими нагрузками, стрессовыми напряжениями, мочеиспусканием, обильной едой и алкоголем.
Пароксизмальные приступы могут преследовать больного несколько месяцев ежедневно по несколько часов. Окончание приступа происходит резко, внезапно и характерно повышенным слюно- и потоотделением, внезапным покраснением кожных покровов.
Постоянная форма феохромоцитомы отличается стойким повышенным артериальным давлением как во время кризов, так и между ними. Смешанная форма распознаётся по нормальному давлению крови между кризами и устойчивым повышенным АД (без скачков) во время них.
Игнорирование симптомов пароксизмальной формы приводит к инсультам и инфарктам.
Диагностика
Для подтверждения диагноза, специалист-эндокринолог, помимо традиционных способов диагностики опухоли — УЗИ, КТ с болюсным контрастом и МРТ; может назначить и дополнительные:
- проверка гормонального фона – специфические анализы крови и суточной мочи;
- уточнение визуализации и функциональных характеристик опухоли – методика SPECT (однофотонная эмиссионная КТ или сцинтиграфия с нефармакологическим радиомеченным MIBG [123] [131]) и/или методика ПЭТ (позитронная эмиссионная томография с [18F] FDG).
Лечение
Редко встречающиеся адренокортикальный рак и злокачественная феохромоцитома лечатся плохо и приводят к смерти, за исключением случаев, когда:
- они были вовремя диагностированы;
- полностью удалены;
- был проведён курс лучевой или химиотерапии.
Купирование опасных для жизни феохромоцитомных приступов проводят внутривенным введением:
- фентоламина;
- нитроглицерина;
- натрия нитропруссида;
- реджитина.
При катехоламиновом шоке проводится немедленная операция.
Дооперационное лечение некоторых видов опухолей проводят химиотерапевтическими хлодитаном и лизодреном, а феохромоцитома отзывается снижением размеров на введение радиоактивного изотопа.
Небольшие, доброкачественные и гормонально-неактивные опухоли чаще всего не требуют хирургического вмешательства и требуют только:
- регулярного наблюдения;
- повторных анализов;
- КТ.
В остальных случаях проводится полное удаление новообразования вместе с поражённым надпочечником (адреналэктомия), последующее постоянное гормонально-заместительное лечение и дальнейшее пожизненное наблюдение с целью предупреждения возникновения рецидивов.
https://youtube.com/watch?v=IqTgQ1fMD4o
Вопрос-ответ
Сколько живут с опухолью надпочечников?
Сколько живут с раком надпочечников? Прогноз при наличии рака надпочечников, если злокачественный процесс еще не распространился за пределы органа, более благоприятный: пятилетняя выживаемость составляет около 73 %. Если опухоль уже поразила окружающие органы, лимфоузлы, этот показатель составляет примерно 53 %.
Можно ли вылечить опухоль надпочечников?
Доброкачественные опухоли хорошо поддаются лечению. При их удалении быстро исчезают симптомы заболевания, рецидивов не возникает. Рак надпочечников требует комплексной терапии и наблюдения квалифицированного онколога.
Как называется доброкачественная опухоль надпочечников?
Доброкачественные опухоли надпочечников, которые не имеют признаков злокачественности, называют аденомами. Часто опухоли надпочечников выявляют случайно. Тогда она называется «инсиденталомой» (от слова incidental – случайный). Согласно мировой статистике, инсиденталомы встречаются у каждого десятого человека на Земле.
Советы
СОВЕТ №1
Регулярно проходите медицинские обследования. Раннее выявление опухолей надпочечников может значительно повысить шансы на успешное лечение. Обсуждайте с врачом необходимость УЗИ или КТ, особенно если у вас есть предрасположенность к эндокринным заболеваниям.
СОВЕТ №2
Обратите внимание на симптомы. Если вы заметили такие признаки, как резкое изменение веса, повышенное артериальное давление, изменения в уровне энергии или настроение, не откладывайте визит к врачу. Эти симптомы могут указывать на проблемы с надпочечниками.
СОВЕТ №3
Соблюдайте здоровый образ жизни. Правильное питание, регулярные физические нагрузки и управление стрессом могут помочь поддерживать здоровье надпочечников. Избегайте избыточного потребления кофеина и алкоголя, так как они могут негативно влиять на функцию надпочечников.
СОВЕТ №4
Ищите поддержку. Если у вас диагностирована опухоль надпочечников, не стесняйтесь обращаться за поддержкой к близким, друзьям или группам поддержки. Эмоциональная поддержка важна для преодоления трудных периодов и принятия решений о лечении.






